Our professional teeth whitening products are free from Fluoride and toxic chemicals, so they offer gentle and effective whitening.
If you are worried about the colour of your teeth or have stains, professional teeth whitening in London is a safe and recommended option for you. At your consultation you will be assessed for the type of staining your teeth have. Then we will discuss whether in office- Philips Zoom whitening or a tray based system would achieve the best results for you.

Professional At-Home Teeth Whitening in London
We begin your home whitening treatment in London by taking a digital scan or mould of your teeth to create a custom-fitted whitening tray in our in-house lab. These trays fit snugly over your teeth, allowing the bleaching agent to work effectively.
Using these custom trays with professional-strength gel, you’ll wear them for 1 to 4 hours daily over 7 to 14 days. This at-home whitening process, recommended by our holistic dentist in London offers a safe and convenient way to whiten teeth fast and achieve long-lasting results. We also have night-time whitening gel available should you prefer sleeping in your trays.
In-office whitening
Our in-office teeth whitening treatment at Optimal Dental Health in Baker Street offers fast teeth whitening with noticeable results in just one visit. Using a professional whitening gel activated by a special LED light, our London dentists help you whiten teeth fast, breaking down stains and brightening your smile quickly.
With our same day whitening service, you leave your appointment with custom-made top-up trays and whitening gel, allowing you to maintain and enhance your smile from home.
Results vary depending on your original tooth colour and the type of stains you have. Our expert team at Optimal Dental Health will assess your teeth first to ensure you receive the safest and most effective treatment tailored just for you.

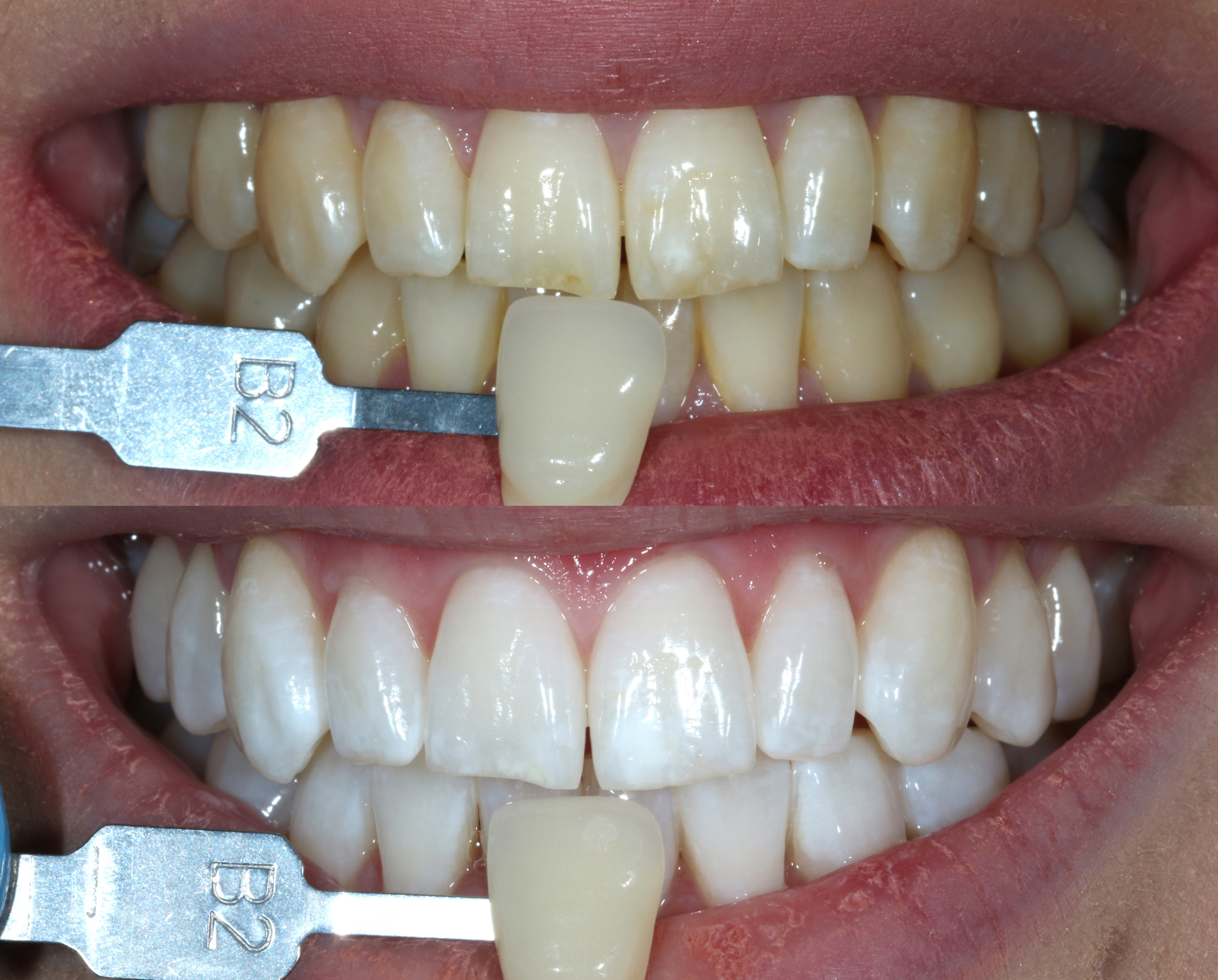
Example of In-chair Whitening at Optimal Dental Health


Life Benefits
- Effective solution for certain types of tooth discolouration and staining.
- Safe treatment when delivered by a dental professional.
- Cosmetically enhances the appearance of teeth.
- Creates a lasting positive impression.
- Enhances your smile and boosts confidence.
- Quick, convenient results for busy Londoners.
FAQs
This all depends on diet and lifestyle. For the majority of our patients it lasts up to two years slowly fading back to your original colour. All of our patients have top-up trays. Just wearing them for an hour every 3 months is enough to keep their teeth shiny and white.
No. It can tingle while you are whitening. For some patients, their teeth are more sensitive after whitening. But, this is transient. It will disappear after you finish your course.
NO. It causes no changes to your teeth apart from gently lifting all the stains out. It will not get your teeth any whiter than when they first grew in at age 7. But, it will remove years of stains from tea, coffee, red wine, and smoking. This will make you look years younger.
Most of our patients wear their top-up trays once every 6 months for about an hour.
Yes, teeth whitening is safe when provided by a professional dentist. Common side effects include minimal tooth sensitivity and mild gum irritation. Sensitivity often subsides in a few days. Severe exposure to aggressive DIY methods may cause enamel erosion, so always make sure you have booked a consultation with your dentist.
No, they typically won’t. Crowns, veneers, composite fillings, and dentures do not change color with teeth whitening treatments. We advise teeth whitening prior to any cosmetic or restorative work to adapt them to the shade of your teeth.
Most dental clinics in London require a dental check-up or consultation to ensure you’re eligible for teeth whitening. If you have gum disease, cavities, or other oral health issues, these will often need addressing first. Whitening isn’t suitable if you’re under 18, pregnant, or breastfeeding.
Empowering smiles, empowering lives
"I recently had composite bonding at Optimal Dental Health and am thrilled with the results. The team was professional, the procedure quick and painless, and my smile has never looked better. Highly recommend for anyone considering teeth whitening in London or looking to enhance their smile
